Home     Vorbemerkung    Krankheitszeichen     Untersuchungen    Behandlung    Kontakt    Links    Impressum/Disclaimer

 

 

Schwellungen der Speicheldrüsen können durch Entzündungen, Speichelsteine, Engstellen, Tumore und mehr bedingt sein

 

Anatomie der großen Kopfspeicheldrüsen: Ohrspeicheldrüse (PG), Unterkieferspeicheldrüse (GSM) und Unterzungenspeicheldrüse (GSL)

 

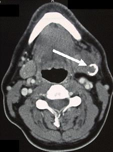
Computertomographie eines verkalkten Speicheldrüsentumors (Pfeil)

 

Einführen eines Speichelgangendoskopes zur Speicheldrüsenpiegelung über einen sogenannten Port. Für eine einfache Untersuchung zur Stellung einer Diagnose ist meist keine Betäubung erforderlich.

 

Hier findet sich ein Stein im Gangsystem der Ohrspeicheldrüse hinter einer Gangaufzweigung

 

Ein Körbchen wird durch den Arbeitskanal des Endoskopes geschoben und damit der Stein gefasst und entfernt.

 

Spitze eines Speichelgangendoskopes mit einem Körbchen und einem gefangenen Speichelstein

 

Spitzen von Speichelgangsendoskopen mit einem Zängelchen (oben), einer Laserfaser (Mitte) und einem Bohrer (unten) zur Speichelsteinlithotripsie und -entfernung

 

Endoskopische Sicht eines Laserimpulses auf einem Speichelstein bei einer Laserlithotripsie.

 

Endoskopische Sicht eines Speichelsteines, welcher durch die Laserlithotripsie zerbrochen wurde.

 

Trümmer von Speichelsteinen, welche mit Zängelchen unter Ultraschallkontrolle erfolgreich zerbrochen und entfernt wurden.

 

Zertrümmerung eines Speichelsteines durch Stoßwellen mit der sog. extrakorporalen Stoßwellenlithotripsie (ESWL). Dieses Verfahren wird von außen in örtlicher Behandlung durchgeführt.

 

Kleine Steinbruchstücke, welche nach einer extrakorporalen Stoßwellenlithotripsie auf dem natürlichen Wege die Speichelgänge verlassen haben.

 

Endoskopische Sicht einer Engstelle eines Speichelganges (Stenose oder Striktur)

 

Ein Ballon kann durch den Arbeitskanal eines Speichelgangendoskopes oder unter sonographischer Kontrolle bis zur Engstelle geführt und dort zu deren Erweiterung gefüllt werden.

 

Ein Drain (z.T. auch Stent genannt) ist auf ein Speichelgangsendoskop aufgezogen worden und kann nach der Erweiterung von Engstellen in diese unter endoskopischer Kontrolle eingelegt werden, um einer erneuten Verengung entgegenzuwirken.

 

Falls Sie ein Arzt mit Interesse an den beschriebenen Techniken sein sollten: Wir haben in der Vergangenheit mehrere praktische und theoretische Kurse zu diesem Thema im Rahmen von nationalen und internationalen wissenschaftlichen Kongressen geleitet und planen dies auch in Zukunft. Bitte kontaktieren Sie uns entweder bei Interesse oder suchen Sie hierfür auf den entsprechenden Seiten der Fachgesellschaften. 

 

 

Welcome.
For English: click here

Willkommen...

...auf unserer Seite zur Behandlung von Speicheldrüsenerkrankungen unter Einschluss von Speichelsteinen und Engstellen der Speichelgänge. Bitte informieren Sie sich und kontaktieren Sie uns, wenn Sie Fragen oder aber auch Verbesserungsvorschläge haben.

Prof. Dr. Urban Geisthoff
für das
Speicheldrüsenzentrum an der Univ.-HNO-Klinik Marburg (Direktor: Prof. Dr. B.A. Stuck)

 

Ein Wort vorab... 

Es ist eine gute Vorschrift, dass wir darauf hinweisen müssen, dass diese Seite keinen Arztbesuch ersetzen kann. Sie kann Ihnen aber als eine mögliche erste Vorabinformation dienen. Eine Website kann nie umfassende und individuell zugeschnittene medizinische Information bieten. Nicht bei allen Patienten sind die hier beschriebenen Techniken möglich und von Erfolg gekrönt, leider gibt es in der Medizin keine "Garantie". Neben den hier beschriebenen Techniken existieren auch noch weitere, welche für Sie angebracht sein können. Der Übersicht halber haben wir uns auch bei den genannten Erkrankungen bewusst beschränkt. Darüber hinaus gibt es jedoch eine Vielzahl weiterer, z.T. auch häufiger Erkrankungen der Speicheldrüsen (z.B. den Morbus Sjögren oder die chronische Entzündung im Kindesalter = chronische juvenile Parotitis). Abhängig von Ihrer Vorgeschichte und Ihren Untersuchungsbefunden wären diese anderen Erkrankungen und ggf. auch andere Behandlungen in einem persönlichen, ärztlichen Gespräch zwischen Ihnen und Ihrem behandelndem Arzt zu erörtern. 

 

Was sind typische Zeichen von Abfluss-Störungen der Speichelgänge durch Steine oder Engstellen? Wie machen sich Tumore bemerkbar?

Die typischen Beschwerden dieser Erkrankungen sind Schwellungen im Bereich der Wange (Ohrspeicheldrüse = Glandula parotis) oder des Unterkiefers (Unterkieferspeicheldrüse = Glandula submandibularis), besonders während des Essens. Gerade bei Entzündungen können auch ausgeprägte Schmerzen und dauerhafte Schwellungen hinzutreten. Bei Neubildungen (gutartigen oder bösartigen Tumoren) findet sich meist eine dauerhafte Schwellung, welche typischerweise nicht schmerzhaft ist. Ein Alarmzeichen ist es, wenn gleichzeitig auch die Gesichtsbewegung auf der gleichen Seite eingeschränkt ist. Dann sollten Sie bald einen Arzt aufsuchen.

 

Welche Untersuchungen können durchgeführt werden?

In den meisten Fällen reicht eine klinische Untersuchung zusammen mit einer Ultraschalluntersuchung aus. Neue Geräte mit verstellbarer Auflösung und Eindringtiefe (sog. high-end-Geräte) sind dabei inzwischen Standard. Hiermit lassen sich meist sowohl Tumore, Steine und Entzündungen feststellen. Manchmal kann es auch sinnvoll sein, eine Speichelgangsspiegelung (Sialendoskopie, Sialoskopie) durchzuführen, um die Ursache der Beschwerden festzustellen. Nur in seltenen Fällen sind spezielle Untersuchungen wie Kernspintomographie (Magnetresonanztomographie = MRT), Kontrastdarstellung der Gänge (Sialographie), Computertomographie oder Szintigraphie erforderlich. Bei Tumoren kann es sinnvoll sein, bereits im Vorfeld Gewebe mit dünnen Nadeln (Feinnadelaspirationszytologie) oder speziellen Stanzapparaten zu gewinnen und zur Untersuchung einzuschicken. 

 

Was kann man tun?

Bei Tumoren ist oft die Entfernung von außen notwendig. Neben der vollständigen Tumorentfernung haben dabei die Schonung des Gesichtsnerven und der Erhalt der Ästhetik oberste Priorität. Oft werden daher Operationsabschnitte mit Lupenbrillen oder mit einem Mikroskop durchgeführt, die Funktion des Nerven wird dabei mit einer elektrischen Ableitung überwacht (elektrophysiologisches Neuromonitoring).

Besonders bei kleinen Steinen von wenigen Millimetern kann es sich lohnen abzuwarten und den Speichelfluss anzuregen (sog. "konservative" Therapie = Behandlung). Manchmal gehen die Speichelsteine von allein ab. Ansonsten stehen inzwischen sehr viele Behandlungsmöglichkeiten zur Verfügung. 

Früher wurde häufig die betroffene Speicheldrüse entfernt. Neben den allgemeinen Operationsrisiken wie Blutungen, Nachblutungen, Entzündungen, unschönen Narben ist eine wesentliche mögliche Nebenwirkung dieser Operation die Beeinträchtigung des Nerven, welcher für die Gesichtsbewegung verantwortlich ist. Oft ist es statt dessen jedoch möglich, durch die Mundöffnung mit verschiedenen Techniken zu operieren, die Gänge freizulegen, zu eröffnen und die Steine oder Engstellen zu entfernen. Für die verbleibende Zahl der Fälle, in denen dies nicht möglich ist, hat besonders der technische Fortschritte bei der Miniaturisierung von Instrumenten zu neuen, schonenden Behandlungsmöglichkeiten geführt: Seit den 80er-Jahren hat hier die "Schlüsselloch-Chirurgie" (minimal-invasive Chirurgie) Einzug gehalten, deren Entwicklung auch jetzt noch anhält.

 Endoskope mit Außendurchmessern von 0,6 mm bis ca. 2 mm erlauben inzwischen ein Arbeiten unter Sicht durch die natürlichen Öffnungen der Speichelgänge hindurch. Bei diesen Speicheldrüsenspiegelungen (Sialendoskopien) können durch die Arbeitskanäle der Endoskope Zängelchen und Körbchen geführt werden um damit die Steine zu fassen und herauszuziehen. Falls diese zu groß hierfür sein sollten, müssen die Steine vorher mithilfe anderer Werkzeuge wie Laserfasern (Laserlithotripsie) oder Bohrern zertrümmert werden. In einigen Fällen ist es vorteilhaft, diese Arbeiten statt unter direkter Sicht unter Ultraschallkontrolle durchzuführen, um z.B. damit kräftigere Zängelchen zum Zerbrechen der Steine einzusetzen. Unter Ultraschallkontrolle kann nach Steinortung auch eine Zertrümmerung mit Stoßwellen von außen eingesetzt werden (sog. extrakorporale Stoßwellenlithotripsie = ESWL). Diese Behandlung muss oft mehrfach durchgeführt werden. Wenn die Steine zerbrechen, gehen sie dann entweder mit dem einfachen Speichelfluss ab oder es werden andere minmal-invasive Techniken dazu eingesetzt. Die Kombination von verschiedenen Techniken (sog. "multimodale Therapie") kann die Erfolgschancen der Behandlung deutlich steigern.

Auch das Aufdehnen von Engstellen kann unter endoskopischer oder Ultraschallkontrolle erfolgen. Dabei können u.a. Instrumente wie Ballons, Bohrer, Zängelchen und Platzhalter (sog. Stents oder Drains) eingesetzt werden. Auch dabei können Kombinationen von Techniken von Vorteil sein.

  

Kontakt

Bei weiteren Fragen oder falls Sie ggf. einen Termin in unserer Speicheldrüsensprechstunde vereinbaren möchten wenden Sie sich bitte an:

        Sekretariat

        Herrn Prof. Dr. Urban Geisthoff

        (weitere Informationen zur Person und Qualifikation finden Sie
         unter www.geisthoff.de)

        Univ.-HNO-Klinik (Direktor: Prof. Dr. B.A. Stuck),

        Universitätsklinikum Gießen und Marburg, Standort Marburg

        Baldingerstraße

        35043 Marburg

via

        Sekretariat (Fr. Hinkelmann, Fr. Luppolo, Fr. Bender, Fr. Oetzel)

        Tel.: 06421 58 66603

        Fax: 06421 58 66367

        Email: sekretariat.hno.mr@uk-gm.de 

Wir freuen uns auf Ihre Anfrage. Bitte beachten Sie jedoch, dass die Berufsordnung für Ärzte (§7 Abs. 3) die individuelle Beratung oder Behandlung auf die Ferne (sog. Fernbehandlung) nur bedingt erlaubt. Dies ist u.a. auch deshalb sinnvoll, da es nicht möglich ist, alle Befunde komplett zu erfassen.

 

Weitere Informationen (z.B. Lage und Anfahrt) finden Sie auch unter "Links" und auf der Internetpräsenz der Kliniken der Stadt Köln. Klicken Sie bitte dafür hier ( www.ukgm.de ). 

 

Ein Wort zum Schluss...

Der Begriff "Speicheldrüsenzentrum" ist weder geschützt noch definiert, somit handelt es sich um ein besonderes Leistungsangebot nach eigenen Angaben. Wir denken, dass es adäquat ist, diesen Begriff für uns zu verwenden, da wir

- eine langjährige Erfahrung in erheblichem Umfang auf dem Gebiet haben.

- in Zusammenarbeit mit den anderen Abteilungen des Hauses das umfassende Spektrum der Behandlungen und Untersuchungen auf diesem Gebiet anbieten können.

- das gesamte erforderliche Instrumentarium hierfür vorhalten.

- innovativ und forschend auf dem Gebiet tätig sind. Sowohl neue Techniken als auch Instrumente wurden durch uns entwickelt, auf wissenschaftlichen Kongressen und in der Fachliteratur dargestellt.

- als Ausdruck unserer Qualifikation Kurse für Ärzte zu diesem Thema auf wissenschaftlichen Kongressen im In- und Ausland anbieten.

- nicht nur von Patienten aus der Region sondern z.T. auch dem außereuropäischen Ausland aufgesucht werden.

- uns bei der Erarbeitung von wissenschaftlichen Leitlinien einbringen.

- als Ausdruck dieser Spezialisierung eine gesonderte "Speicheldrüsensprechstunde" anbieten.

- mit Herzblut bei der Sache sind. 

 

Anhang

Natürlich gibt es auch viele andere Kollegen,  für welche o.g. Kriterien zutreffen und welche sehr gut qualifiziert sind. Möglichkeiten sich zu informieren bieten die Ärztekammern der Regionen, Ihre behandelnden Ärzte, wissenschaftliche medizinische Fachgesellschaften und eingeschränkt auch das Internet (hierüber lassen sich auch die Ärztekammern und Fachgesellschaften finden).

Im Folgenden ist eine Auswahl von Ärzten gelistet, welche nach unserer Meinung empfehlenswert sind und wenigstens einen Teil der o.g. Methoden beherrschen und vorhalten, z.T. über die oben beschriebenen Techniken hinaus auch noch andere Möglichkeiten bieten:

- Prof. Dr. H. Iro und Mitarbeiter in Erlangen

- Prof. Dr. O. Guntinas-Lichius und Mitarbeiter in Jena

- Prof. Dr. J. Zenk und Mitarbeiter in Augsburg

- Dr. Ph. Katz und Mitarbeiter in Paris, Frankreich

- Prof. Dr. M. McGurk und Mitarbeiter in London, UK

- Dr. F. Marchal und Mitarbeiter in Genf, Schweiz

- Prof. Dr. O. Nahlieli und Mitarbeiter in Ashkelon, Israel

- Prof. Dr. M. Fritsch und Mitarbeiter in Indianapolis, USA 

Bitte verstehen Sie, dass diese Empfehlungen unverbindlich sind, keinen Anspruch auf Vollständigkeit haben und hieraus keine Ansprüche abgeleitet werden können. Selbstverständlich sind Sie auch gerne eingeladen, unser

- Speicheldrüsenzentrum an der Univ.-HNO-Klinik Marburg 
zu besuchen (Kontaktinformation von Prof. Dr. Geisthoff: s. oben).

 

 

Für den Inhalt externer Internetseiten wird keine Haftung übernommen.